ライフ
2024/10/22

突然の激痛に医師が告げた「骨に“石”ができています」五十肩と勘違いしがちな中年女性に要注意の“病”

シニア健康女性ホルモン医師高齢者更年期障害
※写真はイメージです
[写真 1/5枚目] ※写真はイメージです
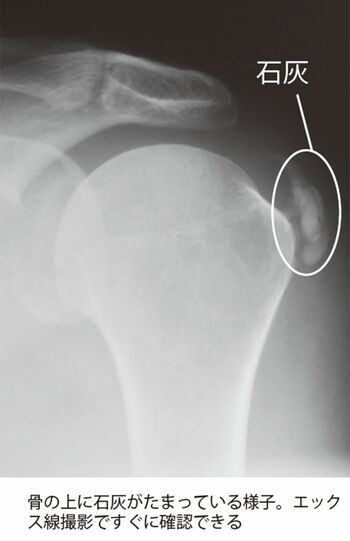
骨の上に石灰がたまっている様子。エックス線撮影ですぐに確認できる
[写真 2/5枚目] 骨の上に石灰がたまっている様子。エックス線撮影ですぐに確認できる
治療法は石灰に直接ステロイド剤を注入する方法などがある。患者数も多い病状のため、ほかにもさまざまな治療法が導入されだしている
[写真 3/5枚目] 治療法は石灰に直接ステロイド剤を注入する方法などがある。患者数も多い病状のため、ほかにもさまざまな治療法が導入されだしている
治療法は石灰に直接ステロイド剤を注入する方法などがある。患者数も多い病状のため、ほかにもさまざまな治療法が導入されだしている※写真はイメージです
[写真 4/5枚目] 治療法は石灰に直接ステロイド剤を注入する方法などがある。患者数も多い病状のため、ほかにもさまざまな治療法が導入されだしている※写真はイメージです
牧原武史先生●独立行政法人国立病院機構霞ヶ浦医療センター整形外科所属。肩関節外科が専門。日本整形外科学会専門医、日本スポーツ協会公認スポーツドクター。
[写真 5/5枚目] 牧原武史先生●独立行政法人国立病院機構霞ヶ浦医療センター整形外科所属。肩関節外科が専門。日本整形外科学会専門医、日本スポーツ協会公認スポーツドクター。
この写真の記事へ戻る

Photo Ranking

健康の最新記事

広告を見ると、記事の続きを読むことが可能になります
続きを読む
ページをリロードする
TOPに戻る