ライフ
2018/6/9

がん、糖尿病、心臓病、肺炎まで“死に至る病”を引き起こす「歯周病」の恐怖

歯周病健康糖尿病
※写真はイメージです
[写真 1/4枚目] ※写真はイメージです
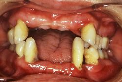
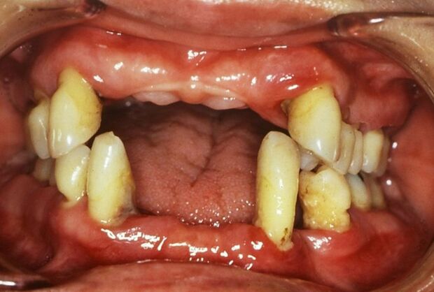
進行が早い歯周病は、あっという間に歯を失う。40代で入れ歯になることも
[写真 2/4枚目] 進行が早い歯周病は、あっという間に歯を失う。40代で入れ歯になることも
歯根の奥にある汚れは歯ぐきを切開し取る
[写真 3/4枚目] 歯根の奥にある汚れは歯ぐきを切開し取る
歯槽骨が減っている場合は再生治療も
[写真 4/4枚目] 歯槽骨が減っている場合は再生治療も
この写真の記事へ戻る

Photo Ranking

健康の最新記事

広告を見ると、記事の続きを読むことが可能になります
続きを読む
ページをリロードする
TOPに戻る