「40代は歯のメンテナンスの始めどきです。ケアを怠ると、50代でも歯が抜けてスッカスカになりますよ! おまけに全身疾患のリスクも高くなります」
そう話すのは歯科医の遠山敏成先生。なんともオソロシイ話だけど、これは現実。
歯は身体じゅうの病気とつながっている!?
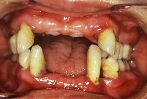
厚生労働省の歯科疾患実態調査(H28年)によると、なんらかの理由で歯を失い「すべて自分の歯ではない」人の割合は、40~41歳で31・1%、45~49歳で41・1%と年を重ねるほどに増えていく。
50~54歳では61.5%と、なんと半数以上が歯を失っているというからシャレにならない。
「ミドル世代は女性ホルモンの分泌量が低下し始めるころ。それにより骨粗しょう症を心配する方が増えてきます。しかし、忘れてはならないのが歯とそれを支える骨の存在。骨が弱くなる年代は歯も弱くなるので、いまから歯を守ることが大切です」(遠山先生)
『8020運動』をご存じだろうか? 平成元年に、当時の厚生省と日本歯科医師会が提唱した、80歳までに20本の歯を残すという趣旨の運動だ。H28年時点で、80歳で20本以上の歯が残っている人は51・2%。H23年調査の40・2%と比べて大きく増えている。
「80歳で20本という数字は、まだまだ甘いと思います。どうせ目指すのならば、80歳で28本、“すべて自分の歯”を目指していただきたい」
と熱く語るのは、矯正歯科医の坂本紗有見先生。
「全身疾患に比べて、歯に何かトラブルがあったとしても、病院に行くのが遅れがち。歯並びやかみ合わせが悪いと、8020に達成していない人が多いのです」(坂本先生)
本来であれば、歯の健康に最も気を配るべきオーバー40の読者世代。とはいえ毎日はあわただしく、病院にかかるとなれば治療費も気になる。そのため、歯に多少の痛みや異変を感じたとしても、我慢してしまいがちなのでは?
前出の遠山先生も、坂本先生の意見に口をそろえる。





















