「私の歯科医院に来院するミドル世代の患者さんも、ホワイトニングなどの美容目的で来院することが多く、ケアの必要性には気づいていません。特に気をつけてほしいのは歯周病。美容目的で来院したのに歯がグラグラでは、それどころではありません」
フロスをするか、それとも死ぬか
前述のとおり、40代になると、4割以上が自分の歯を1本でも失っている。虫歯で抜いたせいと思うかもしれないが、それは間違い。歯を失う最大の原因は歯周病だ。前出の厚労省調査によると、45歳以上では2人に1人が歯周病にかかっている。
「歯周病の影響は口の中だけにとどまらず全身疾患といわれています。アメリカの歯周病学会では“Floss or die”、フロス(糸ようじ)をするか、それとも死ぬか、と恐ろしい標語で啓蒙しているほどです」
歯周病は糖尿病や心臓病、動脈硬化から誤嚥性肺炎、早産、ED(勃起不全)にいたるまで、さまざまな病気との関連性が指摘されている。がん、認知症に影響するという研究報告も。「歯周病は全身疾患」「歯周病は万病のもと」といわれるゆえんだ。
歯を失ったうえ、命にかかわるような病気で苦しむかもしれないとは、なんともつらすぎるではないか。
歯周病に詳しい歯科医の若林健史先生が指摘する。
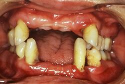
「歯周病患者は年齢とともに多くなります。しかし、治療を通じた私の実感ではもっと若いうちからかかる人も多く、成人の8割は該当するのではないかとみています。『サイレント・ディシーズ』(静かに進行する病気)と呼ばれ、気づいたときはすでに遅く40代で総入れ歯という患者さんが実際に存在するからです」
歯のぐらつきや歯ぐきからの出血、歯肉がぶよぶよしているなどの症状がサイン。歯が長く見える場合も要注意だ。
「それでも、早くからケアをすれば歯を残すことは可能です。さらに、ほかの病気を防いだり改善したりすることもできます」
と、若林先生は早期発見、早期治療を推奨する。

















