ライフ
2024/9/14

《壮絶闘病ルポ》肺腺がんの現役看護師「CT画像を見た瞬間にがんだとわかった」毎年健診を受けてもステージ4

がん闘病健康家族
入院前日の下の娘さんと松本みゆきさん。治療の方針も決まって、表情はやや明るい
[写真 1/5枚目] 入院前日の下の娘さんと松本みゆきさん。治療の方針も決まって、表情はやや明るい
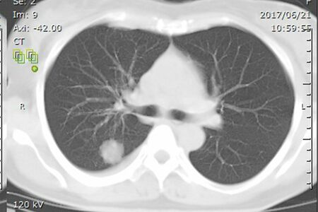
松本みゆきさんが見ても、すぐに「肺がんだ」とわかったというCT画像。白い影がはっきりと写り込む
[写真 2/5枚目] 松本みゆきさんが見ても、すぐに「肺がんだ」とわかったというCT画像。白い影がはっきりと写り込む
治療開始後に迎えた最初の誕生日に松本みゆきさんが子どもたちからもらった時計。「お母さんへ、 いつもたくさんのありがとう これからも幸せな時を過ごせますように」とのメッセージが添えられていた
[写真 3/5枚目] 治療開始後に迎えた最初の誕生日に松本みゆきさんが子どもたちからもらった時計。「お母さんへ、 いつもたくさんのありがとう これからも幸せな時を過ごせますように」とのメッセージが添えられていた
入院直前に家族で岡山旅行に行ったときの松本みゆきさん。「これが最後かも」と思いながら過ごしていたという
[写真 4/5枚目] 入院直前に家族で岡山旅行に行ったときの松本みゆきさん。「これが最後かも」と思いながら過ごしていたという
松本みゆきさん●医療法人養和会の看護師として働く2児の母。2017年肺がんと告知を受ける。2020年に養和会と鳥取大学の共同開催による子育て世代のがんサロン「さくらカフェ」、子育て・働く世代を対象とした患者サロン「あさがお」を創設。“がんと共に 生きる
[写真 5/5枚目] 松本みゆきさん●医療法人養和会の看護師として働く2児の母。2017年肺がんと告知を受ける。2020年に養和会と鳥取大学の共同開催による子育て世代のがんサロン「さくらカフェ」、子育て・働く世代を対象とした患者サロン「あさがお」を創設。“がんと共に 生きる"をテーマとした講演会なども多く行う。
この写真の記事へ戻る

Photo Ranking

健康の最新記事

広告を見ると、記事の続きを読むことが可能になります
続きを読む
ページをリロードする
TOPに戻る