「自覚症状はありませんでした。ですが、CT画像を見た瞬間に、肺がんだとすぐにわかりました」
そう語るのは、鳥取県米子市にある医療法人養和会で看護師として働く松本みゆきさん。職場の健康診断で、肺に異常があると知らせが届いたのは、2017年5月のこと。
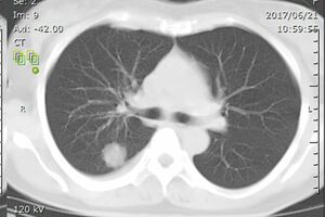
写し出された影を見て自分はがんだと確信
「検査の2週間ほど前に子どもが風邪をひいて、それをもらって少し咳が出ていたので、その影響かなと思いました。勤務先の病院で再度レントゲンを撮り、大学病院から週1回診察に来ていた呼吸器内科の先生に診てもらうと“肺炎を起こしていたのかもしれない。もう少し様子をみましょう”ということになりました。毎年健診を受けていて問題もなかったので、この時点で不安には思わなかったんです」(松本さん、以下同)
しかし、4週間後に改めてレントゲンを撮っても、肺の状態は変わっていなかった。
「これはおかしいとすぐにCTを撮って。検査後、診察室で写し出された画像には、2センチほどの腫瘍が2つ写っていました。当時私は、担当の呼吸器内科の先生と仕事でも親しく、レントゲン写真やCTの見方を教えてもらっていたんです。なので画像を見て肺がんだとすぐにピンときました。ショックでしたね」
その後すぐに、担当医の勤務先である鳥取大学医学部附属病院を紹介され、診断結果の説明は、同病院に助産師として勤務していた長女に付き添ってもらい聞いた。
「診断結果は、肺腺がんのステージ4でした。娘も医療従事者なので、お互い取り乱すことはありませんでした。ですが内心は、ステージ4イコール『死』を連想し、愕然としました。娘も言葉にはしませんでしたが、お母さんは死ぬんだ……と思ったそうです」
告知を受けた後、娘と2人でランチへ。
「そこで長女から“家のことはわかるようにしておいて”と淡々と言われたんです。この言葉で、確かにそうだなと。当時、次女はまだ小学生でしたし、治療が始まるまでの間にできる準備はすべてしておこう、と気持ちを切り替えることができました」
長女は職業柄か、常に冷静に対応。また、松本さんはケアマネジャーの資格も持っており、自宅療養に備えた家の片付けなどはスムーズに進んだ。
「気がかりだったのは次女のことでした。親が病気になった時の子育てや、この先子どもがどんな困難を抱えるのかは、経験も知識もなく、非常に悩みました」
悩んだ末に、まず担任の先生に事情を話し、サポートをお願いしてから次女に伝えることに。
「先生は“なんでも言ってください”と快諾してくれて。その上で、子どもたち2人が家にいる時に次女に伝えました」
がんという言葉は使わなかったが、深刻な状況は隠さず伝えた。
「“お母さんは肺の病気があって、治療しないと死んでしまうかもしれない。だから、元気になるために、入院して治療を頑張るから”と話しました。次女は泣くこともなく、わかったと言ってくれました」
この時の心境を、次女が中学生になってから聞いたところ“泣いたらお母さんが悲しむから泣かなかった”と、幼いながらに母を気遣ったことを教えてくれたという。






















