入院直前に家族で岡山旅行に行ったときの松本みゆきさん。「これが最後かも」と思いながら過ごしていたという
松本みゆきさん●医療法人養和会の看護師として働く2児の母。2017年肺がんと告知を受ける。2020年に養和会と鳥取大学の共同開催による子育て世代のがんサロン「さくらカフェ」、子育て・働く世代を対象とした患者サロン「あさがお」を創設。“がんと共に 生きる"をテーマとした講演会なども多く行う。
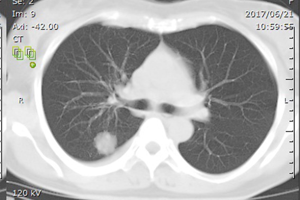
松本みゆきさんが見ても、すぐに「肺がんだ」とわかったというCT画像。白い影がはっきりと写り込む
治療開始後に迎えた最初の誕生日に松本みゆきさんが子どもたちからもらった時計。「お母さんへ、 いつもたくさんのありがとう これからも幸せな時を過ごせますように」とのメッセージが添えられていた


















