咳、息苦しさ……身体の変化に「死」がよぎる
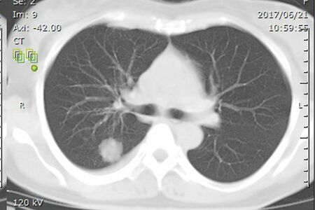
肺がんの主な組織型(がんの種類)は4つあり、松本さんが罹患したのは、肺がんの中で最も多い腺がん。女性に多く、喫煙しているかどうかは関係なく発症するといわれている。今後の治療方針は、遺伝子変異の有無など、さらに詳しい状態がわからなければ決定できない。そのため、検査結果が出るまで4週間待つ期間があった。
「この1か月が一番苦しかったですね。身体の状態も日に日に悪化して、だんだん咳が増え、息苦しさも出てきて。病状が進行していることがわかり、本当に不安でした」
日に日に現実味を帯びてくる死の恐怖と闘いながら、両親と娘たちに遺書も書いたという。
「子どもへは“大きくなるまで見届けられなくてごめん”。そして両親には“先に死んじゃってごめん"。もう書いているだけで涙があふれてきて……」
そんななかで救いになったのは、仕事だった。なんと入院前日まで勤務を続けた。
「“家でひとりでいるといろいろ考えてしまうから、体調が大丈夫なら、月曜から金曜までは仕事をして、土日は休んで子どもたちと過ごしたら?”と上司が言ってくれて。もしずっと休んで家にいたら、ネガティブなことばかり考えていたと思います」
検査の結果、松本さんの肺腺がんにはALK(アルク)融合遺伝子という遺伝子変異が認められ、分子標的薬による薬物療法を行うことが決定。
「先生から、使用するのは高い治療効果が期待できる薬で、仕事もできると言われて。それを聞いて、望みがあるのかなと。死ぬ死ぬという思いから気持ちが切り替わったように思います」
入院中は、1日2回、薬を服用した。分子標的薬は、がん細胞の増殖に関わるタンパク質など、特定の分子を標的にしてがんを攻撃する薬。正常な細胞へのダメージが少なく、従来の抗がん剤と比べて吐き気などの副作用が少ないといわれている。
「私の場合、果物などが苦く感じる味覚障害と、皮膚に湿疹が出る副作用はありましたが、吐き気や脱毛はありませんでした。入院中も、資料作りなど、仕事もできたぐらい」
薬の効果でみるみる腫瘍が縮小し、2週間後に退院。その後1週間の自宅療養を経て仕事にも復帰した。

















