ライフ
2015/8/23

相葉雅紀、佐藤健、矢部浩之も発症した”イケメン病”はなぜ起きる?

相葉雅紀佐藤健矢部浩之
[写真 1/3枚目]
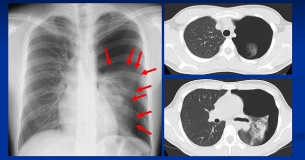
18歳男性=原発性自然気胸のX線写真。もやのような細い網目模様は肺の中に走る血管。向かって左の肺に比べると、右の肺の上半分に網目模様(血管)がないことが見て取れる。肺が矢印の位置まで押しつぶされてしまっている。右側の2枚のCT画像は、輪切りにした体内を写し出したもの。肺上部(上)と比べても、下部(下)は特にひしゃげているのがわかる
[写真 2/3枚目] 18歳男性=原発性自然気胸のX線写真。もやのような細い網目模様は肺の中に走る血管。向かって左の肺に比べると、右の肺の上半分に網目模様(血管)がないことが見て取れる。肺が矢印の位置まで押しつぶされてしまっている。右側の2枚のCT画像は、輪切りにした体内を写し出したもの。肺上部(上)と比べても、下部(下)は特にひしゃげているのがわかる
[写真 3/3枚目]
この写真の記事へ戻る

Photo Ranking

健康の最新記事

広告を見ると、記事の続きを読むことが可能になります
続きを読む
ページをリロードする
TOPに戻る