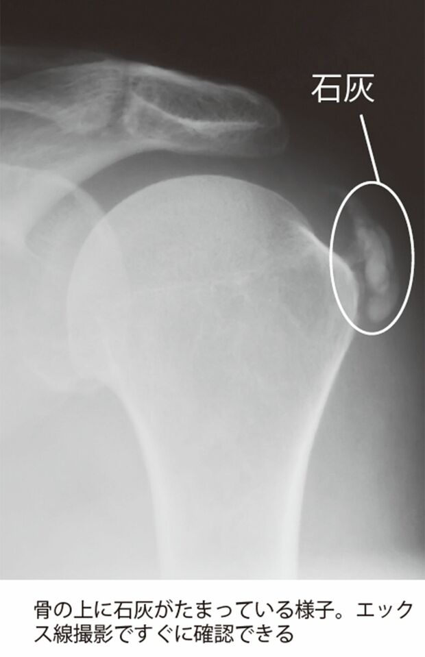
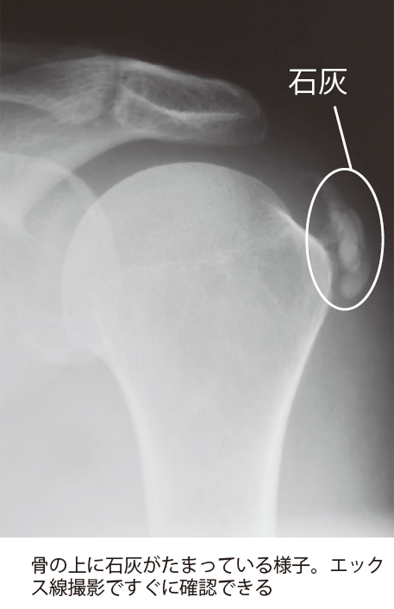
ライフ 2024/10/22 突然の激痛に医師が告げた「骨に“石”ができています」五十肩と勘違いしがちな中年女性に要注意の“病” シニア健康女性ホルモン医師高齢者更年期障害 印刷 【写真】骨の上に石灰がたまっている様子を撮影したレントゲン 骨の上に石灰がたまっている様子。エックス線撮影ですぐに確認できる 治療法は石灰に直接ステロイド剤を注入する方法などがある。患者数も多い病状のため、ほかにもさまざまな治療法が導入されだしている 治療法は石灰に直接ステロイド剤を注入する方法などがある。患者数も多い病状のため、ほかにもさまざまな治療法が導入されだしている※写真はイメージです ※写真はイメージです 広告を見ると、続きの写真を見ることが可能になります 続きの写真を見る ページをリロードする 記事詳細を見る facebook いいね X ポスト LINE はてなブックマークに追加 健康の記事一覧を見る タレコミを投稿する 今日の運勢を無料で見る コピーしました