ライフ
2021/1/30

つんく♂の歌声も救えたはず! がんを溶かして治す最新治療『BNCT』に見る希望の光

健康病気がん
※写真はイメージです
[写真 1/10枚目] ※写真はイメージです
【症例1:70代男性左上顎洞がん】BNCT治療前後の頬の様子。左頬の表面に現れた赤みや膨らみもなくなった
[写真 2/10枚目] 【症例1:70代男性左上顎洞がん】BNCT治療前後の頬の様子。左頬の表面に現れた赤みや膨らみもなくなった
【症例2:80代女性上顎歯肉がん】内視鏡で見たBNCT治療前後の様子。左上の白い腫瘍部分がキレイに!
[写真 3/10枚目] 【症例2:80代女性上顎歯肉がん】内視鏡で見たBNCT治療前後の様子。左上の白い腫瘍部分がキレイに!
【BTCTのしくみ】がん細胞にホウ素を取り込み、エネルギーの低い中性子線をあてる。ホウ素が核分裂を起こして粒子線を発生し、がん細胞を破壊。細胞の大きさしか飛ばない粒子線のため、正常な細胞を傷つけない。ひとつひとつのがん細胞の中で起こる、今までにない粒子線治療
[写真 4/10枚目] 【BTCTのしくみ】がん細胞にホウ素を取り込み、エネルギーの低い中性子線をあてる。ホウ素が核分裂を起こして粒子線を発生し、がん細胞を破壊。細胞の大きさしか飛ばない粒子線のため、正常な細胞を傷つけない。ひとつひとつのがん細胞の中で起こる、今までにない粒子線治療
陽子線治療室
[写真 5/10枚目] 陽子線治療室
放射線治療の種類
[写真 6/10枚目] 放射線治療の種類
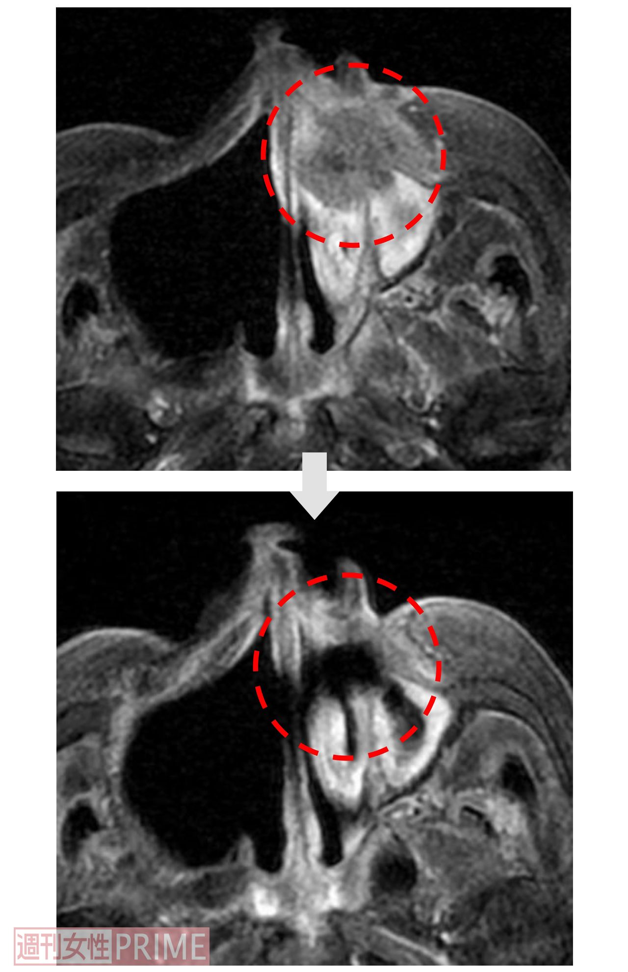
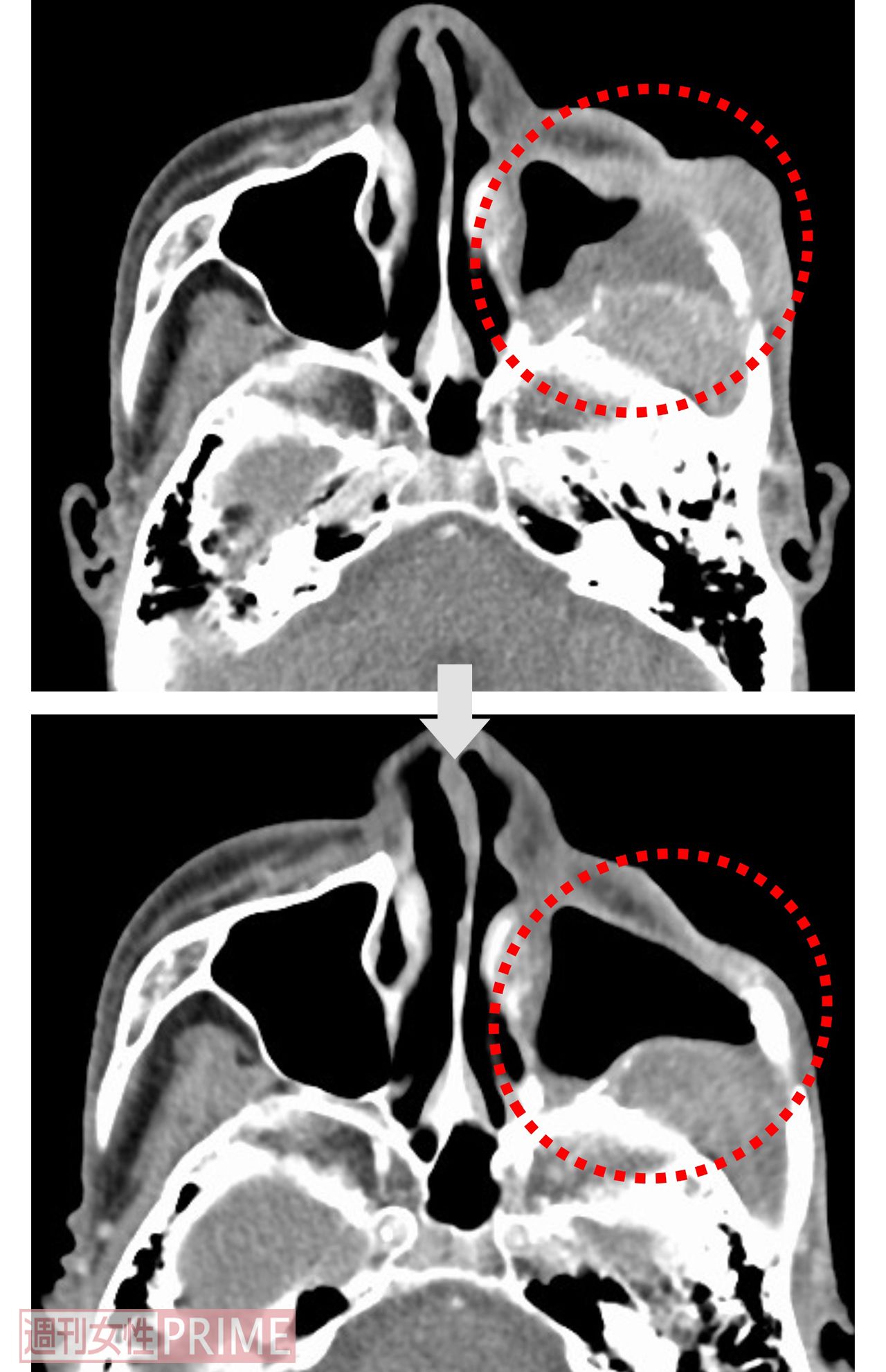
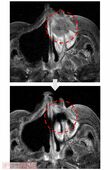
【症例1:70代男性 左上顎洞がん】BNCT治療前後のCT画像
[写真 7/10枚目] 【症例1:70代男性 左上顎洞がん】BNCT治療前後のCT画像
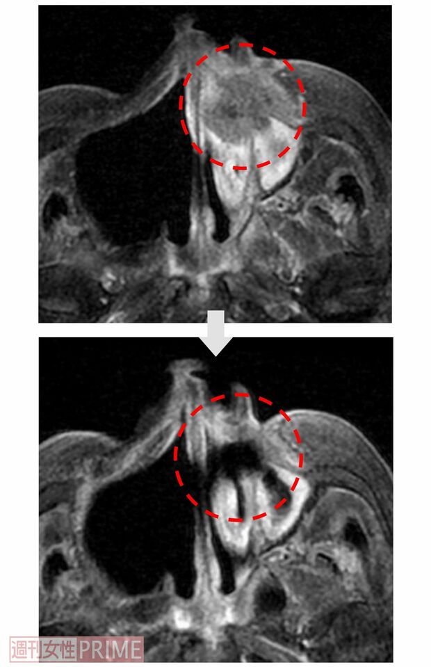
【症例1:70代男性 左上顎洞がん】内視鏡で見たBNCT治療前後の様子。溶けるようにがんが消失
[写真 8/10枚目] 【症例1:70代男性 左上顎洞がん】内視鏡で見たBNCT治療前後の様子。溶けるようにがんが消失
【症例2:80代女性 上顎歯肉がん】BNCT治療前後の画像
[写真 9/10枚目] 【症例2:80代女性 上顎歯肉がん】BNCT治療前後の画像
治療装置(サイクロトロン)
[写真 10/10枚目] 治療装置(サイクロトロン)
この写真の記事へ戻る

Photo Ranking

健康の最新記事

広告を見ると、記事の続きを読むことが可能になります
続きを読む
ページをリロードする
TOPに戻る