厚生労働省が発表した「平成29(2017)年人口動態統計の概況」によると、日本人の死因第1位は「悪性新生物(がん)」、第2位が「心疾患(心臓)」、そして第3位が「脳血管疾患(脳卒中)」。
「脳卒中」とは、脳の血管が詰まる「脳梗塞」、脳の血管が破れて出血する「脳出血」、血管にできたこぶ(脳動脈瘤)が破裂して出血する「くも膜下出血」などの総称だ。脳卒中は無自覚のうちに突然発症することが多く、たとえ一命を取りとめても、後遺症が残って要介護となりやすい怖い病気。
そんな脳卒中を早期発見するための検診が、1988年ごろから始められた「脳ドック」だ。
「当初は、“頭痛が気になる”“両親が脳梗塞を患ったから自分も心配だ”などが脳ドック受診の主な動機でした。最近はそのニーズが変わってきました」
と、教えてくれたのは脳神経外科医で新百合ヶ丘総合病院の笹沼仁一院長。
65歳以上の人口が全人口の2割以上を占める超高齢化社会の現在では、認知症への不安から、物忘れや脳の萎縮などを気にして、40代以降の働き盛り、子育て世代は男女問わず脳ドックを受診する人が増えたという。
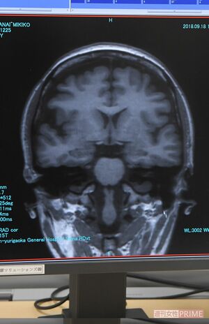
そうした背景を受けて同病院では、脳の加齢を数値化した脳年齢を提示する「脳年齢」脳ドックを、全国に先駆けて今年8月から開始した。東北大学加齢医学研究所で構築してきた大規模脳画像データベースに基づく解析技術を導入した画期的なものだそう。
脳年齢が気になる世代の40歳を過ぎたころから物の名前がすぐに出てこなくなり、家族に日々“あれ、それ、これ”と指示語を連発している43歳ライターが、初めての脳ドックで脳年齢を受診してみた。
通常、同病院での「脳年齢」脳ドックは、脳の断層写真からがんを早期に発見する「PET-CTがんドック」とセット(11万円税別)で行うが、今回は特別に「脳年齢」脳ドックのみ体験させてもらった。
まずは検査着に着替えて、タブレットで最新の「認知力テスト」を受ける。出てきた数字を暗記して答えたり2ケタの数字の引き算をしたり、出題の立体と同じ形の立体を答えるなどのテストを行い、約20分で終了。これは東北大学加齢医学研究所での研究成果を用いて独自に考案したテストで、通常の認知症テストよりも、やや難易度が高いとのこと。
その後、MRI検査へ。検査技師に「金属は身につけていませんか?」「閉所恐怖症ではありませんか?」と確認され、耳栓を装着してから、検査台に横たわりドーム状の検査機の中へ。検査が開始されると、耳栓をしていてもかなりの音量で「ビービービー」「ゴトゴトゴト」と工事現場のような音が聞こえてきた。




















