社会・事件
2021/10/15

37歳「コロナで肺が真っ白」、医師から “死ぬ可能性” を宣告された男性の痛切な闘病記

災害事件健康コロナウイルス
「もう助からない」専門家ですらそのように見えたほど真っ白になった肺。これが37歳のコロナ患者が味わった現実だ(写真:取材者提供/東洋経済オンライン)
[写真 1/7枚目] 「もう助からない」専門家ですらそのように見えたほど真っ白になった肺。これが37歳のコロナ患者が味わった現実だ(写真:取材者提供/東洋経済オンライン)
当記事は「東洋経済オンライン」(運営:東洋経済新報社)の提供記事です
[写真 2/7枚目] 当記事は「東洋経済オンライン」(運営:東洋経済新報社)の提供記事です
8月5日、「東京都発熱相談センター」で紹介された病院でのレントゲン写真。まだ肺はキレイだった(写真:取材者提供/東洋経済オンライン)
[写真 3/7枚目] 8月5日、「東京都発熱相談センター」で紹介された病院でのレントゲン写真。まだ肺はキレイだった(写真:取材者提供/東洋経済オンライン)
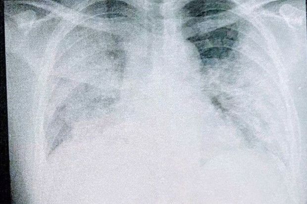
8月12日、入院した当日に撮った肺のレントゲン写真(写真:取材者提供/東洋経済オンライン)
[写真 4/7枚目] 8月12日、入院した当日に撮った肺のレントゲン写真(写真:取材者提供/東洋経済オンライン)
右・8月24日、東京1回目の入院で、退院2日前、左・9月2日、愛知県の病院で撮ったレントゲン写真(写真:取材者提供/東洋経済オンライン)
[写真 5/7枚目] 右・8月24日、東京1回目の入院で、退院2日前、左・9月2日、愛知県の病院で撮ったレントゲン写真(写真:取材者提供/東洋経済オンライン)
左・9月2日、愛知のセカンドオピニオン病院の入院時、右・9月6日、同病院の退院時 (写真:取材者提供/東洋経済オンライン)
[写真 6/7枚目] 左・9月2日、愛知のセカンドオピニオン病院の入院時、右・9月6日、同病院の退院時 (写真:取材者提供/東洋経済オンライン)
画像をクリックすると、長期戦の様相を呈してきたコロナ禍の今を追う記事一覧にジャンプします
[写真 7/7枚目] 画像をクリックすると、長期戦の様相を呈してきたコロナ禍の今を追う記事一覧にジャンプします
この写真の記事へ戻る

Photo Ranking

災害の最新記事

広告を見ると、記事の続きを読むことが可能になります
続きを読む
ページをリロードする
TOPに戻る