災害の記事一覧(326)

《知床遊覧船遭難》運航会社社長、杜撰すぎる安全管理体制も“刑事責任”を問われない現実

ウクライナは他人事じゃない!「日本の原発が攻撃されたら」死者37万人の衝撃シミュレーション

コロナ禍で増加する“家なきオンナ”、公園で生活・SNSで他人にSOS、貧困にあえぐ女性たち

「5年以内に死ぬ!」反ワクチン団体が接種会場で“テロ行為”、警察出動も止まぬ怒号

コロナ禍で増える「捨て鳥」飼育放棄された700羽の世話代1か月150万円に苦しむボランティア団体

【新型コロナ/オミクロン株】飲食店、満員電車、病院で「感染しそうでヒヤッとする瞬間」を検証

新型コロナ、ワクチンが進まない“元凶”「ブースター接種5つの大誤解」を医師が解説

【子を持つ医師にアンケート】わが子にコロナワクチン接種「させたい/させたくない」親の本音

コロナに感染してからでは遅い!岡田晴恵さん監修、自宅療養時にないと【絶対に困るもの10】

新型コロナ「検査難民」で外来がパンク寸前!PCR検査の保険点数を大幅ダウンさせた政府の誤算

コロナに感染してわかった深刻事態、陽性反応後に二転三転する東京都の対応に感じた危機

コロナ後遺症で円形脱毛症? オミクロン陽性者にワクチンは? 感染拡大で広がる“噂”に医師が回答

【新型コロナ】感染拡大のオミクロン株、医師が警告「重症化しないから大丈夫」ではない

【トンガ海底火山噴火】は対岸の火事ではない、日本にも迫る「富士山・カルデラ噴火」の近未来

オミクロン株・まん延防止・3回目のワクチン…etc.「コロナの不都合な真実」の核心に迫る

小中学校の不登校児童が過去最多の19万人超え!コロナで学校に行けなくなった子どもたちのSOS

【コロナウイルス】ワクチン3回目接種「受ける/受けない」「副反応は?」医療従事者のホンネ

国際レスキューナースが唱える地震への備え「100均グッズを使った発想が必要」

オミクロン株はワクチン接種から生まれたのか「危険性と感染リスク」に迫る

アフターコロナ「働かないで協力金をもらえていた」飲食店が抱える悩み

「子どもとコロナウイルス」重症化にワクチン接種は?第6波の前に押さえておきたい事実

【コロナウイルス第6波】静かに身体を蝕む、自宅療養の先に待つ「最悪のシナリオ」

【日本の水道事情】専門家が説明する「水道料金のしくみ」と「危機的状況」

東京に向けて北上中!? キョン大繁殖で被害拡大も「命乞いして鳴き叫ぶ」駆除への葛藤

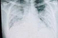
37歳「コロナで肺が真っ白」、医師から “死ぬ可能性” を宣告された男性の痛切な闘病記

「ワクチンパスポート」運用のシンガポール、未接種者との区別や“厳しい規制”への賛否

コロナ収束予想「来年の春」は絶望的? 政治的空白が「ワクチン3回目接種」の足かせに

自宅療養者に食料支援「フードレスキュー」ミュージシャン七尾旅人から広がった“共助”の心

緊急事態宣言延長に「ラッキー」店の解体費、新店舗開店資金…“協力金バブル”の実情
