新型コロナウイルスの感染爆発が起きたこの夏。8月中旬に東京都の1日あたりのコロナ感染者数は約5000人にも上った。長く続く自粛生活もマンネリ化し、一部ではコロナ前と変わらないような日常を送る人々がいることはメディアにも多く取り上げられた。
そして、企業のリモート化は進んでいるものの、出勤時に「満員電車に乗ること」を避けられない人もいる。今回、紹介する男性もまた、その一人だ。
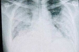
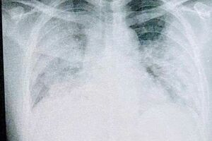
瀬川達也さん(仮名・37歳)はこの夏、コロナに感染し、医師に「死ぬかもしれない」と宣告を受けた。基礎疾患もなく、大きな病気をしたこともない男性だ。至って元気だったが、コロナ感染後に重症化。入院前には血中酸素飽和度が「72%」という極めて危険な数値にもかかわらず、苦しさの自覚症状がない「ハッピー・ハイポキシア」の状態に陥った。さらに三度の入院に至るまでの経緯を、日にちを追って詳しく聞いた。
疑わしいのは満員電車、または消毒なしの手で食事?
「コロナの感染は、たぶん満員電車の中だったと思います。多くの人が咳をしていた車両でした。すごく混んでいて、隣のおじさんの口もとが自分の頬すれすれにある状態。そこでかなりゴホゴホと咳き込んでいました。当時は布製のウレタンマスクをしていましたが、防ぎ切れなかったのだと思います」
イベント業に従事する瀬川さんは、8月前半の数日間、仕事で満員電車に乗らなければならなかった。ウレタンマスクはしていたが、顔と顔がとても近い満員電車では、予防効果もどこまでなのか不安が残った。
「どこで感染したか」を振り返ったとき、もう一つ思い当たることがあった。
「朝食をコンビニで買って食べていたのですが、ちょっとした気のゆるみがあったのかもしれません。8月4日だけ手指消毒も手洗いもしないまま、いろいろ触ったと自覚のある手で、ゆで卵をむいて手づかみで食べてしまったんです。感染の原因で思い当たるのはそのくらいです」
8月4日の深夜、身体がピリピリする感覚や熱っぽさなど違和感を覚えた。8月5日の朝に検温すると、午前9時頃に37.3度の発熱、午後2時頃には38.8度まで上昇。「東京都発熱相談センター」に電話相談をし、病院で診察をうけた。























