ライフ
2023/5/21

“女性のがん死因”5年連続1位の大腸がん「カプセル内視鏡」「CT」苦痛が少ない最新検査法を医師が徹底解説!「予約が取りにくい病院」を狙うべき理由

健康病気がん病院医療医師
大腸カプセル内視鏡   画像提供/コヴィディエンジャパン株式会社
[写真 1/7枚目] 大腸カプセル内視鏡   画像提供/コヴィディエンジャパン株式会社
CTコロノグラフィーによる検査は、肛門にチューブを挿入して炭酸ガスを注入し、大腸を膨らませた状態でCT撮影を行い、内視鏡で見るような3D画像を再構成して観察・診断する方法。病変の位置が正確にわかり、大腸内視鏡の死角に存在する病変を発見することも。画像提供/富士フイルム株式会社
[写真 2/7枚目] CTコロノグラフィーによる検査は、肛門にチューブを挿入して炭酸ガスを注入し、大腸を膨らませた状態でCT撮影を行い、内視鏡で見るような3D画像を再構成して観察・診断する方法。病変の位置が正確にわかり、大腸内視鏡の死角に存在する病変を発見することも。画像提供/富士フイルム株式会社
大腸カプセル内視鏡の大きさは長さ約32mm、直径約12mm。前後に内視鏡カメラを搭載し、360度近くの視野角で腸内を撮像する。フラッシュの役割をする白色LED、バッテリー、データ送信機などを内蔵。移動速度に合わせて、撮像枚数を調整しながら消化管内を進む。画像提供/コヴィディエンジャパン株式会社
[写真 3/7枚目] 大腸カプセル内視鏡の大きさは長さ約32mm、直径約12mm。前後に内視鏡カメラを搭載し、360度近くの視野角で腸内を撮像する。フラッシュの役割をする白色LED、バッテリー、データ送信機などを内蔵。移動速度に合わせて、撮像枚数を調整しながら消化管内を進む。画像提供/コヴィディエンジャパン株式会社
大腸内視鏡検査 ※画像はイメージです
[写真 4/7枚目] 大腸内視鏡検査 ※画像はイメージです
近藤しんたろうクリニック院長の近藤慎太郎先生
[写真 5/7枚目] 近藤しんたろうクリニック院長の近藤慎太郎先生
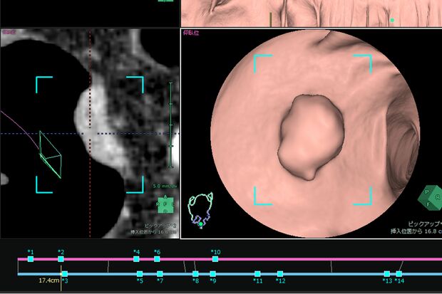
3D画像から病変と疑われる領域を発見した場面 画像提供/富士フイルムヘルスケア株式会社
[写真 6/7枚目] 3D画像から病変と疑われる領域を発見した場面 画像提供/富士フイルムヘルスケア株式会社
実際にポリープを発見したときの画像 画像提供/コヴィディエンジャパン株式会社
[写真 7/7枚目] 実際にポリープを発見したときの画像 画像提供/コヴィディエンジャパン株式会社
この写真の記事へ戻る

Photo Ranking

健康の最新記事

広告を見ると、記事の続きを読むことが可能になります
続きを読む
ページをリロードする
TOPに戻る